当院のマウスピース矯正
当院ではシェイプメモリーアライナー(形状記憶アライナー)とインビザラインを使用しています
患者様のご要望や歯並びに応じて個々に矯正プランを計画します。
当院のマウスピース矯正の解説
① シェイプメモリーアライナー(形状記憶アライナー)
2024年1月に日本で薬事承認を取得した新しいマウスピース矯正です。
形状記憶機能付きアライナーで科学的に証明された新しい技術です。
インビザラインよりも歯を動かすスピードが速く、痛みが少ないマウスピース矯正です。
② インビザライン
インビザラインをする上で重要なことは“ 精密な歯型のデータ ”です。
当院ではiTeroスキャンニングにより精密なマウスピースを作製します。
精密検査から治療の流れ・メインテナンスまでプラチナドクターに認定された歯科医師が丁寧に説明します。
マウスピース矯正の比較
比較表
| ① シェイプメモリー | ② インビザライン | |
|---|---|---|
| 痛み | ○ | △ |
| 目立たない | ○ | ○ |
| 取り外し | ○ | ○ |
| マウスピース製作 | ○ | △ |
| 来院頻度 | ○ | △ |
| 適合性 | ○ | △ |
① シェイプメモリーについて
従来のマウスピースとの違い
- 装着前にお湯で柔らかくして装着し体温で元の形に戻す
- 従来のマウスピース矯正より痛みや不快感が大幅に軽減
- チュウイを噛む必要がありません
- アタッチメントも不要です
- ダイレクトプリント技術により歯との適合性が約3倍に向上
従来のマウスピースのメリットも継承
- 透明なマウスピースで目立ちません
- 取り外しが可能なため日常生活に支障がない
② インビザラインについて
インビザラインのメリット
- 世界レベルで矯正実績があり症例データが豊富
- 3Dのシュミレーション画像を作成できる
- 透明なマウスピースで目立ちません
- 取り外しが可能なため日常生活に支障がない
マウスピース矯正の流れ
-
STEP1カウンセリング
まずはお口の中を少しだけ拝見し、どのような治療になるかご説明をします。
普段悩んでいらっしゃることや、治療への不安も全て歯科医師とお話できます。
カウンセリング時間は30分から1時間くらい。じっくりお話いただけますから、安心してください。この場で治療開始を決めて頂く必要はありませんから、いろいろな歯医者さんとご相談して、あなたにベストだと思う歯医者さんで治療を開始してください。
シュミレーション例
-
STEP2精密検査

マウスピース矯正治療をスタートするために詳しい検査を始めます。
パノラマでのレントゲン撮影、3Dレントゲン(CT)、左右の顎の骨から見た噛み合わせの状態、現在のお口の状態の撮影、歯型を取る(デジタルスキャニング)など、治療開始のための詳しい検査を行います。お口の状態によっては、特殊な検査機器で顎の骨の音をチェックしたり、聴診器であなたの顎の状態を確認したりもします。
普通の矯正歯科では行わないことまで精密に調べますけれど、びっくりなさらないでください。
検査にかかる時間は1時間くらいです。 -
STEP3治療計画シュミレーション

レントゲンや現在の歯並びの検査結果を元に、アライン・テクノロジー社(インビザラインの会社です)が3Dのシュミレーション画像を作成します。(インビザラインの場合)
治療計画ができたらご来院いただき、一緒に3Dの動画を見ながら、現在の歯が将来どのように動いていくか治療計画をご説明します。あなたのご希望や疑問も解消しながら納得がいくまでじっくり話し合います。
-
STEP4マウスピース矯正前のクリーニング

歯のクリーニングなどをしてマウスピース矯正を始める前にお口の状態を整えます。同時に歯ブラシの指導も始まります。
もし虫歯や歯周病などがある場合は最初に治療を始めます。こうした矯正以外の歯の治療も当院で治療できますから、安心して通ってください。
-
STEP5マウスピース矯正開始!

マウスピース矯正を行う準備が整ったら、いよいよアライナー(マウスピース)を装着します!
脱着や日常のお手入れ方法、注意事項などを丁寧にご説明します。
歯磨き指導は1度だけではなく、できるようになるまで毎回行っていきます。アライナーは1日20時間以上装着してください。
アライナー装着中の注意

アライナー装着には、写真のような「Chewies チュウイ」というゴム状のものを奥歯から順番に噛んで毎回装着します。(とっても大切です!)
※シェイプメモリーアライナー の場合はチュウイは不要です
また、装着中に無意識に歯をぎゅっと噛みしめてしまうと、痛みが強く出たり噛み合わせに影響がでてしまいますから、できるだけリラックスして装着してください。
痛みが強く出ている方は、無意識のくいしばりや歯ぎしりがある可能性がありますので、相談にいらしてください。
※痛みの少ないマウスピース矯正で痛みが強い方は、ほとんどの場合が自覚症状のない「食いしばり」がある方です。
平常時は上下の歯は触らず数ミリ空いている状態で、舌は上顎の前歯の付け根のあたりに軽く触れるか触れないかの位置にあるのが自然なお口の形です。詳しくは医師にお尋ねください!また、お食事中は必ずアライナーを外してください。そして綺麗に歯をブラッシングしてから、清潔にしたアライナーをチュウイを噛みながら装着してください。(装着方法は医院でしっかりお伝えします!)
矯正治療中は歯の定期チェックに1~2か月に1度、通院してください。(正しい歯磨きが習得できていない場合や、歯のクリーニングが必要な状態の方は通院回数は増えます。)
アライナーは以下の表を目安に交換していきますが、歯の動きや経過によっては期間を医師が変更することもありますので、しっかりと期間を守ってください。
アライナー交換頻度と最短動的治療期間
インビザラインの種類 枚数 交換めやす 最短動的
治療期間- エクスプレス パッケージ
- 軽度の歯並び改善の方
7枚 2週間※ 98日※ - ライト パッケージ
- 14枚以下で矯正が行える歯並びの方
14枚 154日※ - コンプリヘンシブ パッケージ
- 矯正に14枚以上の枚数が必要な方
上限
なし10日※ 枚数により異なります。
例えば20枚の方は200日、30枚の方は300日です。※交換目安や最短治療期間は、動的アライナーを付け始めてから歯並びを動かす動的矯正時間の目安で、検査・治療・保定装置装着期間は含みません。また、骨・歯肉・噛み合わせの状態で動的期間が前後しますので、詳しくは担当医にお尋ねください。
リファイメント(追加矯正)を随時行います
インビザライン矯正は、治療期間分全てのアライナーが一度に作られ米国から歯科医師に送られてきます。でもわたしたち人間の体は、最初の計画通りに歯が動くとは限りません。
歯を並べるだけなら出来るかもしれませんが、M'sクリニックでは顎の骨から噛み合わせまでの矯正を重視するため、たとえ歯並びに問題がなくても、噛み合わせが狂う可能性があると途中で診断できた場合は、型を再度取り直して治療を再計画し、新しいマウスピースをもう一度発注しています。これをリファイメント(追加矯正)と言います。
枚数無制限のインビザライン「コンプリヘンシブ」のリファイメントに追加料金はありません。5年間の保証期間中は必要に応じて何度でも追加修正可能です。
格安・激安インビザライン矯正の注意点
格安・激安のインビザライン矯正では「型取り1回だけ」や「初期発注のアライナーを全部はめ終えてからリファイメント」というケースもあるようです。
しかしこうした安い矯正は噛み合わせが狂ったり、矯正期間が長引く可能性や、矯正後何年か経って不調が出てしまい、もう一度矯正(矯正費用が新規でもう一度必要!)となることもあります。
当院ではこうした矯正に失敗された患者様の再治療をしておりますが、再治療はとても大変です!どうか、充分ご注意ください。
-
STEP6保定装置(リテーナー)装着
歯の移動が終わりました!マウスピース矯正で歯の動的な矯正が終わったら、保定期間です。
動いた歯は後戻りしやすいため、動かした期間と同じくらいの期間を保定期間として保定装置(リテーナー)をつけます。この頃には、美しく整った歯でニコニコの笑顔になっています!
当院はその場で3Dスキャンしセラミックを削り出すCEREC(セレック)設備も導入しています。
歯型を取らずに1日で白い詰め物・かぶせ物にすることもできますから、大きなお口で笑っても銀歯のない綺麗なスマイルになれます。
みなさまの笑顔を拝見できるまで、医師&スタッフ全員、サポートしますから、一緒に頑張りましょう!
マウスピース矯正の注意点
矯正を失敗するケースや、インビザライン矯正のデメリット

インビザライン矯正は治療開始時に全期間分のマウスピースが一度に作られるのですが、人間の体は計画通りに動くとは限りません。
この時、型を取り直して計画を修正し再度マウスピースを作り直さないと、矯正治療が長引くどころか後々に顎関節症など不具合が出てインビザライン矯正を失敗するケースもあります。
ですから治療の修正を随時やってくれる歯医者さんで治療することが一番大切ですね。
患者様の日常管理でインビザライン矯正を失敗するケースでは、正しい歯磨きを習得しないと、虫歯になったり口臭が発生することです。
ご自分でアライナー(マウスピース)を外すことができるため、装着時間が短いと思うように動かず治療が長引く失敗や、後戻りしてしまいインビザラインを失敗するケースもあります。
M'sクリニックでは治療中の修正、歯磨き指導、MFT(口腔筋機能療法)のアドバイスまで矯正中にトータルでケアしますからご安心ください。
どの歯列矯正も、担当の歯科医師によって結果が変わります
歯が綺麗に並んでも、噛み合わせが正しくないと歯が折れたり顎関節症になったり、体のあちこちに不具合が出る人もいます。
本当の歯列矯正は並べるだけではなく、正しい噛み合わせに治療することです。マウスピース矯正も、治療途中で歯や筋肉の微妙な動きを察知して、何か月も先を予測する能力が必要なのです。
逆にマウスピース矯正では歯が動きにくい方や骨性癒着歯(アンキローシス)がある患者様も中にはいらっしゃいます。M'sクリニックはそのようなケースのリスクもしっかりご説明しご理解頂いた上で矯正を始めます。
矯正はこうした技術面に信頼がおける先生の元で治しましょう。
歯が揃っていない小学生からのインビザライン
当院では部分萌出の小学生の子供さんからインビザライン治療ができます。(部分萌出のインビザライン治療は、臨床経験が豊富な医師に限定されています)
部分萌出のインビザライン治療(コンプリヘンシブ)では、永久歯が生えるスペースをインビザラインのアライナー(マウスピース)で保つことができますので、歯が生えそろってから矯正を行うより少ない負担で矯正可能です。
また、アライナーの装着忘れによる矯正治療の遅延を意識的に防ぐよう、コンプリヘンシブには装着時間が色で分かるインジケータもついています。
エクスプレス等は費用がお安くなりますが、部分的な矯正で並べても咬合が正しくないと後戻りしてしまい、保証もありません。コンプリヘンシブは5年間の保証がつきますので、咬合状態など医師とよく相談して適切なインビザラインの種類を選びましょう。
マウスピース矯正と他の矯正の大きな違い
例えば日本人に一番多い歯並びガタガタの乱杭歯を矯正する場合、子供では奥歯を拡張・後方移動して土台を大きくする「床矯正」があります。
しかし床矯正は違和感が大きく話しづらいため、大人にはワイヤー矯正が一般的なのです。(※M'sクリニックでは大人の方にも床矯正を行う場合もあります。)
ワイヤー矯正には、歯の外側にブラケットをつける通常の矯正と、歯の内側につけるリンガル矯正(裏側矯正、舌側矯正とも呼ばれます)がありますが、どちらも拡張や後方移動が苦手なワイヤー矯正です。
ワイヤー矯正では土台の大きさを変えづらいため、中央から数えて4番目の歯を抜歯してスペースを作るのが抜歯矯正です。
しかし、マウスピース矯正では土台の拡張がある程度可能となり、非抜歯矯正できる方がぐんと増えたのが最大の違いなのです!歯根吸収も起きにくいマウスピース矯正は、歯を残してあげたいと思っている歯科医にとっても理想的な歯列矯正です。
マウスピースで矯正できる歯並び
- 適正な咬合
-
正しい噛み合わせは、前歯の上下の中心が合い、前歯が2~3mmかぶさるように重なり、上下の歯が交互に咬み合っている状態。この状態にマウスピースで矯正します。
- 出っ歯
出っ歯は上顎前突と言い、前歯が突き出ている状態
- 受け口
受け口は下顎前突と言い、下の歯が突き出ている状態
- 乱杭歯
乱杭歯は叢生と言い、八重歯が飛び出していたり歯が重なり合っている乱ぐいの状態
- お口ポカン
開咬と言い、噛んでも前歯が閉じない状態
- クロスバイト
交叉咬合と言い、上下の歯が横にずれていたり、一部だけ下の歯が上の歯に重なっている状態
- すきっ歯
すきっ歯は空隙歯列と言い、歯の間に隙間がある状態
- 過蓋咬合
前歯が深く咬み込んでいて、下の歯が前歯に深くぶさっている状態








※当院のマウスピース矯正は、八重歯の飛び出し(乱杭歯)や出っ歯、受け口などほとんどの歯並び・噛み合わせを治療し、詰め物を白くするなどの歯科治療を包括的に完了することができます。
※また当院はCEREC(セレック)でその場で3Dスキャンしセラミックを削り出す設備も導入していますので、歯型を取らずに1日で白い詰め物・かぶせ物にすることができます。外部に依頼する歯科技工代がかかりませんので、通常のセラミックよりも安く綺麗に歯を白くすることができます。
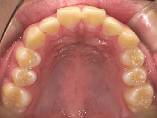
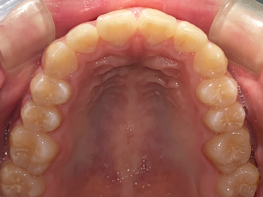
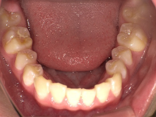
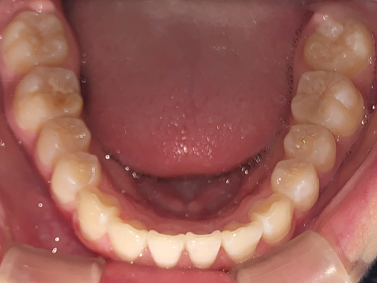
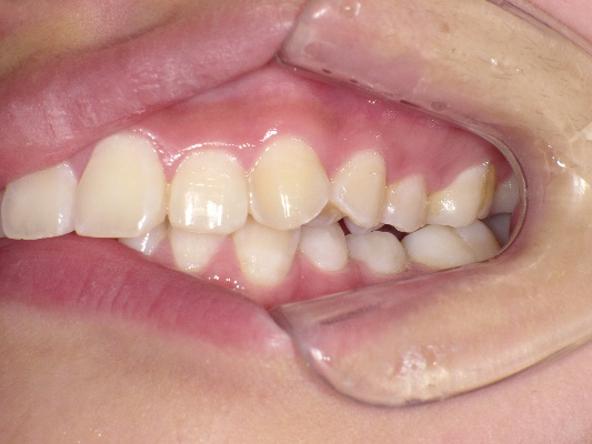
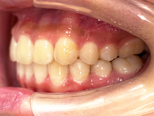
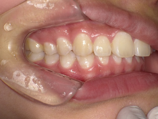
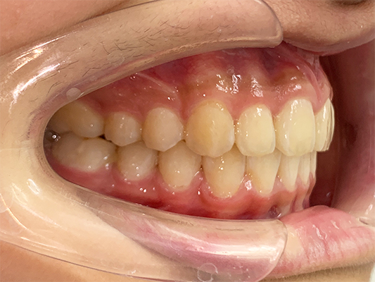
症例
上顎前突
- 上顎


- 下顎


- 左側


- 右側


- 正面






